닫기

온라인 진료 예약

온라인 진료 예약 서비스는 신청 후 병원에서 확인 전화를 드린 후
예약이 확정됩니다.
휴무일, 업무시간 외 신청한 예약 건은 정상업무일
오후부터 차례대로 확인 전화를 드립니다.

※ 주의 사항 ※
확인 전화를 받지 않으셨다면 예약 확정이
되지 않은 상태이므로 문의해 주시길 바랍니다. ◆ 온라인 예약 신청건은 접수된 순서대로
진료 예약팀에서 연락드리겠습니다. ◆
(빠른 예약을 원하시면 1833-2280으로 연락 부탁드립니다)

레이어 레이어

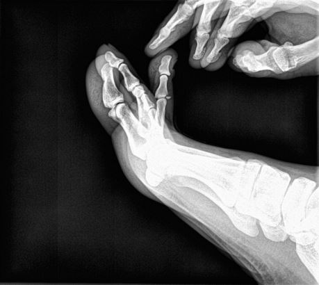
임현우원장 발가락 견열골절 이라는데 수술을 해야 할 지 고민 입니다

페이지 정보

nampo488

25-04-22 20:39

3월29일 운동 중 부딪혀  타박상 인 줄 알고 지내다  4월21일 인근 의원에서 사진을 찍어보니 우측 세번째 둘째 마디 견열골절 이라고 합니다 시간이 많이  지연되어 깁스는 의미가 없고 수술에 대해 전문병원과 상의해 보라고 하시네요 걸을 때 통증은 거의 없고 만지면 아픈 상태고 구부리고 펴는건 되는데 약간의 통증이 있고  4주 지난 현재도 붓기가 있고 피부색이 어두운 붉은색 입니다  사진에서 보면 뼛조각이 피부쪽으로 뽀족하게 솟아 있는데 이게 혹시 나중에도 통증을 유발 할지 걱정이네요 수술을 해야 할까요? 한다면 어떤 방법으로 진행 되는지 알고 싶습니다

안녕하세요 두발로병원입니다
적어주신 내용만으로는 적절한 답변을 드리기 어려우니
빠른 시간 내에 외래로 방문하셔서 검사 및 진찰을 통해
가장 최선의 치료를 받으실 수 있게 도와드리겠습니다.

예약은 1833-2280을 통해 안내 받으시기 바랍니다.